Sermon: Peace Be With You All

I’ve been thinking about the symbolism of clerical robes, such as this one I’m wearing this morning. The founders of Protestantism replaced showy liturgical vestments with this rather boring scholar’s robe because they wanted the focus to be on the teaching of the Word – not on what they saw as vanity and spectacle.  They wanted their congregants to focus on the internals, not the externals, of our faith.

This emphasis on what is being preached vs who is doing the preaching (or what they looked like) is rooted in the early Church’s determination to not make an idol of the person of Christ.  This is why we do not know what Jesus the human being looked like.  Every image we have of him was created long after all who actually knew him were gone.

John makes this same point.  He tells us Jesus said to Thomas: “Blessed are those who have not seen and yet believe.”  Everyone in that room believed because they saw Jesus alive again, in person.  But Jesus is warning them that his physical presence is actually an impediment to their ministry.  

He said those who came after them would believe without seeing, and would be blessed.  Jesus’ words, and the gift of the Holy Spirit that we receive through Him, are what matters – not his physical form.

This morning I’m also reflecting on John’s beautiful summation of Jesus’ entire ministry: “Peace be with you all.”  …I also see it as the shortest complete sermon in the Christian Scriptures, so perhaps I should just stop right here.

Nah!

Continue reading “Sermon: Peace Be With You All”

A Transformative Moment of Faith

I returned to my pew, sweating and shaking; and had to completely rethink what had been a lifelong thoroughly intellectual and theologically liberal Protestant faith. I realized that relationships, especially my relationship with God, were much more than just logic. Relationships require emotion, passion, and love.

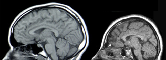
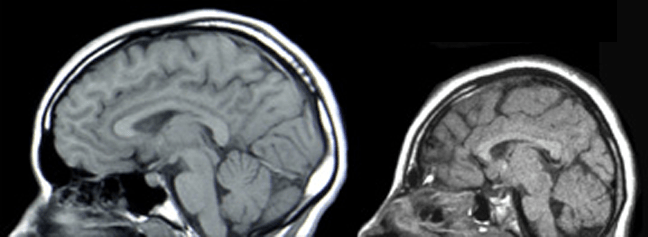
A normal brain and a microcephalic brain (source: wikipedia)

On this sunny, snowy, cold morning I am remembering a child that was born in (if I remember right) October of 1992. Her mother had been quite ill throughout the pregnancy, and the little girl was extremely premature. She suffered from numerous medical problems, nearly all of which were likely to be fatal. And yet that December, after a long stay in The Mayo Clinic’s Neonatal ICU and numerous surgeries, she was finally able to go home.

Although many of her immediate health challenges had been overcome, her microcephalic brain was not so easily repaired: it was 1/3rd the volume it should have been. Her parents were told she would be a “vegetable for the rest of her life.”

Continue reading “A Transformative Moment of Faith”

Sermon: Not Alone (Pentecost)

…We are not alone, [and] we are called to live that reality out in meaningful ways. We are to bring the Good News to all. No one is alone: no matter who they are, what God they worship, what color their skin is, their politics, the size of their bank account, what language the speak, where they were born, how able their bodies or minds may be, what gender they identify with, and no matter whom they love. God loves us all unconditionally: no prerequisites, no expectations, no limits, and no end.

So, how do we live out the reality of this infinite Love of God when we can’t gather together in the ways that have been essential to the life of our church for so long?

Let us pray…  …   Lord God, may your peace and Holy Spirit fill us this morning.  Open your scriptures to us, and may I clearly communicate what you intend us to receive.  May your Word take root and flourish within each and every one of us, and through it may we be strengthened and transformed by your unconditional, living, and limitless love for each and every one of your children.  In Jesus Name, Amen.

As I read this morning’s scripture (Acts 2:1-19), I imagine the disciples huddled in that Upper Room.  They are no longer afraid, but Jesus’ last command is to remain there, to “shelter in place,” until they receive the promise of the Creator.  So they wait, separate from those who resumed their normal lives after the turmoil and death of that first Easter week.

I’m sure they mourned.  I’m sure they prayed and planned.  They must have wondered about Jesus’ promise and his commission to be witnesses there in Jerusalem, then in all Judea and Samaria, and to the ends of all the earth.  How would this Great Commission be fulfilled?  They waited.

And there our church sits.  All of us are gone.  We’re waiting.  Only Pastor Tom is there this morning, all alone.  We have quarantined ourselves from our neighbors and friends.  But like the disciples, we know we must soon move on to something new.  

Continue reading “Sermon: Not Alone (Pentecost)”

Sermon: It is Hard to Say Goodbye

Saying Goodbye is essential to our walk with Christ. It is essential in our relationships with each other. And, is essential in our own growth as living, loving, spirit-filled human beings.

We all say goodbye in many ways and in many different settings: the death of a loved one; the loss of a job or a retirement; College Graduation; the birth of our first child; the end of a relationship. All of these mark the end of one chapter in our lives and the start of another.

Saying “Goodbye” recognizes that something we value, something that is essential to who we are right now, is ending.

Most of us have had to say “Goodbye” to loved ones who died. And someday, those we love will say Goodbye to us when we die. With death, all that we are slips beyond human grasp. All that is left of us here in this world are the memories of those who knew us – good memories and bad; memories that those who love us will carry with them as they move forward into their own future.

Death means saying goodbye to those we love.

The loss of a job or a retirement is another way of saying goodbye: it marks the end of a way of life or a career. We must say goodbye to the friendships and the community and sense of self that are all wrapped up with that position. We are no longer a teacher, or a manager, or a police officer, or a writer – or a preacher. Part of our identity dies, and will never come back again in exactly the same way.

Leaving a career means saying goodbye to a big part of how we see ourselves, and what defines our place in this world.

College Graduation is another way of saying goodbye. …Yes! School is done! But what now? Get a job?? Be responsible?? Rent an apartment and get a car??? OMG, I have to “adult” now??!!  …Nah, I’ll just move back in with my parents!

Continue reading “Sermon: It is Hard to Say Goodbye”

Lost But Not Forgotten

This image is of my daughter taking a bow after dancing to the song “I Will Follow Him” in a talent show at our church in October of 1995.  I pulled this from one frame of a shaky and out of focus video of the performance, shot by a very poor videographer (me), using a video camera that was old and tired even then. The video’s quality has not been helped by its later conversion from VHS to DVD and then (recently) to MP4.

Despite the faded and poor quality imagery, my memory of her performance that day is sharp and clear, and always will be.   She was only six years old at the time.  She selected the song by herself and used what she’d learned in her Ballet lessons to choreograph the dance on her own.  And, she selected her outfit for the performance – a red “twirly hoop dress” – all by herself, too.

She did a fabulous job, and kept her composure even when an excited toddler ran on to the stage during the dance.  The congregation let her know their appreciation with a rousing ovation and cheers.  She did great.  I was a very, very proud father that day.

But, it is also a memory tinged with sadness.  A few years later, our relationship was destroyed in the death of my first marriage: I was shut out of her life without any choice or voice in the matter, and know almost nothing of her life since.  I doubt that this rupture will ever be healed.

Continue reading “Lost But Not Forgotten”

Sermon: Scattered and Gathered

The story of the Tower of Babel and of Peter’s Sermon on the First Day of Pentecost are two sides of the same coin: Both stories demonstrate that God values us and speaks to us as individuals. Acts 2 also shows that our relationships with God and each other are both communal and individual in their nature; and that God intends both aspects to be present in our relationships with each other and with the Divine.

Pieter_Bruegel_the_Elder_-_The_Tower_of_Babel_(Vienna)_-_Google_Art_Project_-_edited
“The Tower of Babel” by Pieter Bruegel the Elder, 1453.

This week we celebrate the beginning of the Christian Church, Pentecost.  Among other things, Pentecost is a declaration that Christ’s relationship with his disciples, including us, is a new thing: one that transforms us and our relationship with the Divine in fundamental and lasting ways.

Pentecost reflects a new level of openness, of sharing, of vulnerability. A deeper bond has been created: binding us together and with God through the Holy Spirit that indwells each and every one of us. It is an affirmation of who we are and who we are to become.

Continue reading “Sermon: Scattered and Gathered”

A Light in the Darkest of Times

We all go through dark times in our lives, times when our own prayers; and even the assurances, encouragements and prayers of others; seem futile and useless. If anything, such attempts are painful and bitter proof that human effort is always futile in the end. And yet, the darkness we see all around us is not really the issue. It is the darkness within us that we are really battling…

rays-of-light-shining-throug-dark-cloudsThese short and gloomy days and long dark nights of winter are a hard time, often made harder and darker by the challenges we face.

We all go through dark times in our lives, times when our own prayers; and even the assurances, encouragements and prayers of others; seem futile and useless. If anything, such attempts are painful and bitter proof that human effort is always futile in the end.

In such times all we see is darkness ahead of us, behind us, and all around us. We are convinced the end is near and inescapable. We know that all we are, all we do, and all we aspire to be, is nothing in the face of the insurmountable challenges confronting us. We have no hope. No one can change the darkness that is inexorably consuming us.

And yet, the darkness we see all around us is not really the issue. It is the darkness within us that we are really battling: it feeds on the loss of hope within our spirits; and on our endless self-castigation for missed opportunities, for past sins, and for our separation from those whom we love.

One of the lectionary readings for this coming Sunday is from Psalm 62, which repeats the following sentence twice: “[God] alone is my rock and my salvation, my fortress; I shall never be shaken.” It is a Psalm written by someone just like us. All they had left was God, and their faith. And yet in such times of darkness, even our faith seems insufficient to dispel the darkness we see all around us.

Darkness blinds us to our God who, in the first chapter of Genesis, CREATED the light – a point emphasized in the first few verses of the Gospel of John as well: “In the beginning was the Word, and the Word was with God, and the Word was God. He was in the beginning with God. All things came into being through him, and without him not one thing came into being. What has come into being in him was life, and the life was the light of all people. The light shines in the darkness, and the darkness did not overcome it.”

We cannot overcome the darkness on our own; but no matter how dark it is around us, God is there. No matter how dark it is within us, God is there. The Holy Spirit is the “light of all people” – a light within us. It shines no matter how dark things may seem, and the darkness cannot overcome it.

So, in these darkest of times, be certain that God is there, because God is Lord of Darkness, not just the Lord of Light; and God is the Creator of Light. God is the source of all light, light that is there even in the midst of the greatest darkness of all.

God is always with us, a light that shines no matter how hopeless, empty, and futile our personal darkness may seem. God’s Hope for us lies within God, it is not something that we can lose or forsake on our own; because it is under God’s control, and scripture assures us that God will never forget us or forsake us.

We can trust in God at all times, because God is with us for ALL time. God is our Rock and our Salvation: a refuge that will never fail.

Amen.

Copyright (c) 2015, Allen Vander Meulen III, all rights reserved.  I’m happy to share my writings with you, as long as proper credit for my authorship is given. (e.g., via a credit that gives my full name and/or provides a link back to this site – or just email me and ask!)

Children’s Message: Holy Spirit Balloons

A fun Children’s Meditation on the importance of the Holy Spirit and why God wishes us to be healed.

The Choir enthusiastically participating in the task of handing out %22Holy Spirit Balloons%22 following the Children's message, 5-19-2013

A fun Children’s Meditation that gets the congregation as a whole involved in presenting the message.  The lesson is on the importance of the Holy Spirit and that God wishes us to be healed so that we can share the Holy Spirit with others.

Scriptures: Acts 2; and possibly either Isaiah 53:5 or 1 Peter 2:24

The suggested quantities of balloons are for a group of 12-15 children, with a generous “margin of safety” so that no one is left out if more than the expected number show up!

Continue reading “Children’s Message: Holy Spirit Balloons”

Affirmation

Affirmation requires embracing the other, and loving them, without judgment, for every aspect of who they are, and what they are. … It is an acknowledgement that we don’t have all of the answers, and that the other’s answers therefore deserve just as much respect and care as we expect them to show for ours. This is driven by our firm conviction that the Holy Spirit is available to all and that God is present in all of Creation, a conviction rooted in Peter’s quote from Joel to that crowd of many nations on Pentecost: “God declares, that I will pour out my Spirit upon all flesh.” All Flesh. So, it is our role to discern God in the other, even if the presence of the Holy Spirit in their lives manifests itself in ways that we are neither familiar nor comfortable with.

Bugobi-29-960x540My “Farewell Sermon” at Sudbury Memorial Church, UCC
Presented 5/19/2013
Scriptures: John 15:12-17; Acts 2:1-21

My first Sunday here was as a pulpit supply preacher on August 7th, 2011. The Lay Leader that day was John, who was a tremendous help, the very first of many here who have reached out to support, encourage and guide me, every time I’ve been in this Sanctuary or ministered in any capacity on behalf of this congregation.

Just over eight months ago, I began serving as your Ministerial Intern. That day, I was leaping into the unknown. I was nervous about the year long experience we’d both committed ourselves to, worried about saying the wrong thing, doing something stupid, or offending someone inadvertently; hoping our time together would be a positive experience for all of us.

And every day since has been a great blessing, filled with experiences I will always treasure.  This has been a time of growth and of correction, a time of learning and of teaching, a time of deepening and broadening my faith and ministry (and – I hope – yours), a time where we have each given a piece of ourselves to the other, a time when we planted seeds for the future within each other, a time where we have been open to each other and shared in deeply moving, loving ways. We’ve bonded with each other in ways that will last forever.

Those most involved in mentoring and guiding me during my time here, the members of my Teaching Parish Committee, and Tom and Cathy, are all up here this morning, continuing their support through our joint ministry today, doing what you have all been so diligent in doing these past eight months – affirming and guiding me in hundreds of ways, small and large. But most importantly, and most memorably, you’ve all offered me your friendship, and your love, and I have been profoundly grateful and blessed by it.

But now, our journey together draws to a close. Our future has arrived, a future where our paths diverge. A time when, once again, we must leap into the unknown; but this time of ministering together will live on, in our memories. Good memories, mostly – I hope! Certainly that will be the case for me. It’s been a good year, but as we often say when times such as this come to a close, our journey together has been all too short.

But is it the end?

In this morning’s reading from the Gospel of John, Jesus tells his disciples “I do not call you servants any longer, because the servant does not know what the master is doing; but I have called you friends, because I have made known to you everything that I have heard from my Father…”

I do not call you “Servants” any longer… but I have called you friends

We are embarking on a new stage in our relationship, which is also the message of Pentecost. The arrival of the Holy Spirit at Pentecost was a declaration that Christ’s relationship with his disciples, including us, is one that can never die, and one that has changed into something new. There is a new level of openness, of sharing, of affirming, of vulnerability. A deeper bond has been born, binding us together through the Holy Spirit that now indwells each and every one of us.

Continue reading “Affirmation”

A Mite in The Emptiness

Presented at Sudbury Memorial Church, UCC, Nov 11, 2012
Scripture: Mark 12:38-13:2

There’s a tiny island about halfway up the western coast of Scotland.  It’s a small, desolate place: bare of trees, covered mostly with scrub and sand.  Ancient rises of eroded granite make up much of the island; covered with a few patches of grass, some flowers and one or two small streams.  Many years ago, I journeyed there, taking a ferry to the Island of Mull, then a long meandering bus ride along a single lane road, passing by empty hills and the occasional farm; and then – finally – a short boat ride to the Island of Iona.

I wandered there for a few hours, strolling out of the village, past the monastery and its ancient graveyard: broken and fallen stones marking the anonymous graves of ancient heroes, kings and saints.  I passed sheep grazing under the bright blue sky, then crossed the narrow island, arriving at an ancient stony hill overlooking a small beach that faced the vastness of the Ocean.

There I sat, meditating for a long while, remembering the monks who came there nearly 1500 years ago, and their long labor to bring the Gospel back to much of Europe.  Their labors ended what we now know as the “Dark Ages” that followed the collapse of the Roman Empire.  I thought of the many Scottish luminaries that history tells us are buried in the graveyard I’d passed, including Duncan and Macbeth.  I remembered reading about the monastery’s destruction by the Vikings; then it’s re-establishment in the 12th century, only to be abandoned again during the Reformation, and finally reborn in the 20th Century as a community dedicated to working for Peace and Justice.

I sat on that windswept hill, enveloped by the sound of the waves breaking on the shore, the smell of sea and flowers, the seabirds calling, the wind whispering among the sand and grass.  A sense of awe and majesty surrounded and filled me as I sat there, alone in that empty place, pondering my own uncertain future.

Continue reading “A Mite in The Emptiness”

Is God Involved?

One of the biggest questions any faith must address in their theology is to what extent God is involved in human affairs.  The answer can range from seeing God as distant and totally uninvolved (if not unapproachable); to heavily involved in every last detail of our lives.  None of the world’s major faiths have a single viewpoint on this issue.  Instead, we see a range communities within each of these great faiths with a broad range of views on the continuum between these two extremes.

The “distant” conception sees God as a distant, uninvolved deity.  In this view, humanity is often seen as an accidental or deliberate byproduct of creation, as rejected or cut off from God, or perhaps even forgotten by Her (or Him).  Adherents of this view usually believe it is up to humanity to somehow bridge the gap between us and God to achieve salvation.  For myself, I have difficulty with this view, since I believe God can (and does) have a personal relationship with us.  A distant and uninvolved God wouldn’t care about us one way or another, and our very existence would therefore be meaningless and futile.

A “Highly Involved God” is one where all pain, suffering and bad choices in this life are “fixed” because of God’s love for us.  While I believe God loves us, I have concerns with this point of view because it requires God to interfere in human affairs on an ongoing basis.  If God miraculously heals or favors me in some way, the cost is probably that someone else must suffer or be denied access to the benefits I am being given.  As a Rabbi once said: if I take a walk one day and see a fire engine racing by me towards smoke rising in the distance from where my house is, and I pray for God to let it not be my house that is burning, then am I, in effect, asking that someone else’s house be burned?  A God who interferes in human existence in such a way would not be respecting the gift of freedom of choice, which I believe lies at the heart of what makes us human, and is what makes us capable of having a true relationship with God.  If God does not permit us to suffer the consequences of our own choices, then we are no more than pets, or perhaps robots: playthings without a meaningful existence of our own.

The Book of Job in the Hebrew Bible makes this same argument: as a human, I am finite and limited in my understanding.  Therefore, I cannot know all the consequences of what I ask of God.   So, when God does not grace me with what I see as a favorable answer to what I am requesting, is that a bad thing?  I think not.  To me, it merely means that I do not know the full story, and that I am asking for something that is not in line with God’s perfect will for me and for all of Creation.  It is not a matter of “not having enough faith” or not being perfectly obedient to God’s will.  (In fact, I would argue, as did Paul, that no one can ever be perfectly obedient, and therefore none of us ever “deserves” God’s grace.)  But, let’s get back to the question of “Is God Involved?”

Is God involved?  Does God actually care for us as individuals?  Does God even notice that we exist?  For me, the answer is “Yes”

I believe that the primary reason for the historical existence of Christ is to demonstrate that God shared with us and walked with us, both fully human and fully divine.  God knows what it means to be happy, to be sad, to be hungry, to be satisfied, to love, and to grieve.  Through Christ, God has experienced all of these things, and so knows exactly what it means to be human.  Through doing this, God demonstrated that he (or she) cares for us as individuals: that each and every one of us matters to God.

Further, as Christ said in John 14:26, the “Comforter”, the Holy Spirit, is still with us.  I believe this is the same spirit that manifested itself as the “voice” that came to Elijah in the cave (I Kings 19:13).  I believe that the Holy Spirit is but one of the many avenues God uses to communicate with us, to help us learn for ourselves what God already knows is best for us.  Yet, God will never seek to shield us from the consequences of our choices.  If we make a bad choice, bad consequences will follow.  For me, the doctrine of “original sin” teaches us that we cannot help but make imperfect choices.  In other words, any choice we make will ultimately lead to negative consequences for someone, if not for ourselves.

So, the answer is Yes, God is involved: God is constantly talking to us, feeling what we feel, walking our walk.  But, it is up to us to choose to listen and to walk the path that God knows is best for us.  Yet, if we fail to do so, God remains with us, experiencing with us the pain and loss we’re experiencing.

I believe that God never gives up on us, and so I will never give up on the God I see as a very personal and very loving God.

 

Copyright (c) 2011, Allen Vander Meulen III, all rights reserved.  I’m happy to share my writings with you, as long as you are not seeking (or getting) financial benefit for doing so, and as long as proper credit for my authorship is given (via mention of my name on your site, or a link back to this site).